hallo ich bin der weihnachtsmann [verkauft] absorberkühlschrank electrolux rm 184 egi, zündfunkengeber

In unserer heutigen Zeit gibt es viele verschiedene Verletzungen, die den Alltag einschränken können. Eine der häufigsten Verletzungen dieser Art ist der Bruch eines Knochens, insbesondere des kleinen Fingers. Es kann sehr schmerzhaft sein, aber wenn Sie sich an die Anweisungen Ihres Arztes halten, können Sie schnell auf die Beine kommen und wieder voll ins Leben einsteigen.

Trümmerbruch am kleinen Finger - Erfahrungsberichte (Fußball)

Fraktur am kleinen FingerTrümmerbruch am kleinen Finger ist eine sehr häufig vorkommende Verletzung im Fußball. Jeder erfahrene Fußballspieler kann bestätigte, dass eine solche Verletzung sehr schmerzhaft sein kann, aber beim Umgang mit einer solchen Verletzung ist es das A und O, die Anweisungen des Arztes gründlich zu befolgen. Wenn der Arzt sagt, dass die Verletzung ausreichend versorgt werden muss, ist es wichtig, dass Sie eine gute Behandlung erhalten und dass Sie sich ausreichend ausruhen, damit der Bruch richtig heilen kann.

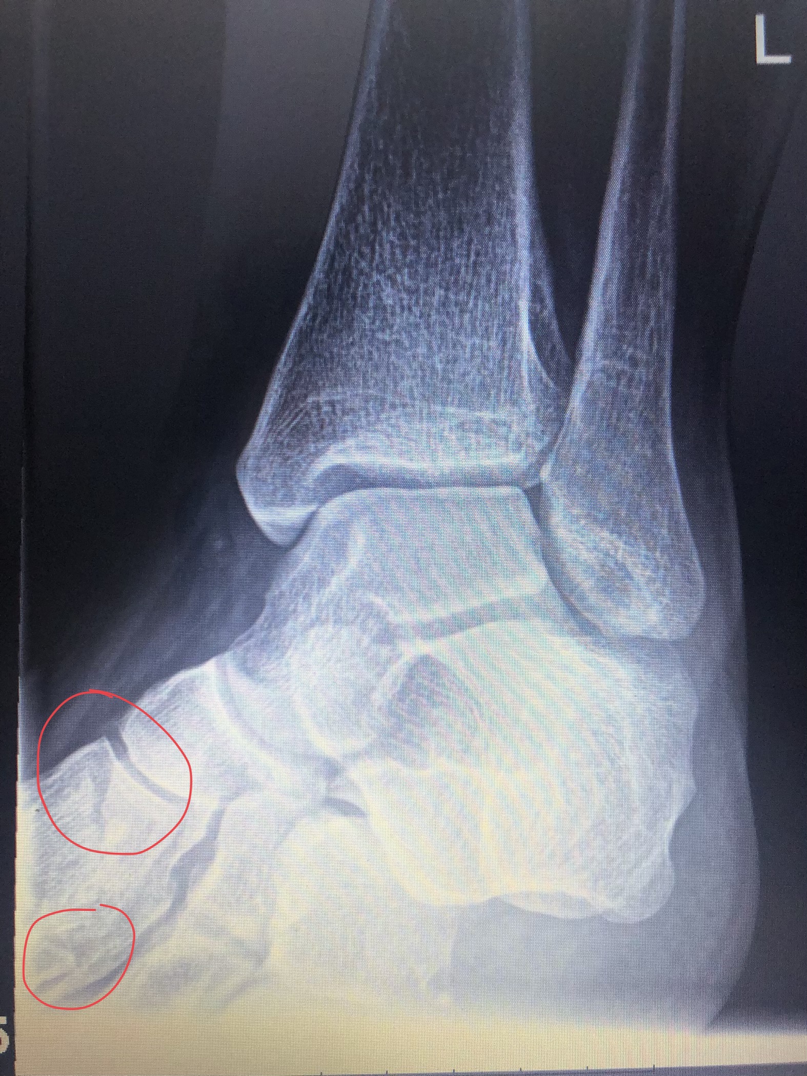
Fraktur oder Bänderriss? (Schmerzen, Sprunggelenk)

Fraktur oder Bänderriss am SprunggelenkWenn Sie Schmerzen im Sprunggelenk verspüren, kann es sein, dass Sie eine Fraktur oder einen Bänderriss haben. Es ist schwer zu sagen, welche von beiden Verletzungen vorliegt, ohne eine Röntgenaufnahme oder eine MRT. Ebenso kann es schwer sein, festzustellen, ob eine Fraktur oder ein Bänderriss ohne eine genauere Diagnose vorliegt. Ein Arzt kann Ihnen bei der Erstellung einer Diagnose helfen und Ihnen helfen, die richtige Behandlung zu erhalten, um Ihre Verletzung richtig zu behandeln und in Zukunft ein Problem zu vermeiden.

Bei Verletzungen kann es schwierig sein, eine sichere Einschätzung vorzunehmen, aber es ist wichtig, dass Sie sich mit Ihrem Arzt absprechen, um eine fundierte Entscheidung zu treffen. Zu befolgende Anweisungen, Ruhe und eine gute Behandlung sind entscheidend, damit Verletzungen richtig heilen können und Sie sich zu 100% wieder gesund fühlen und wieder aktiv in Ihrem Alltag werden können.

If you are searching about Welcher schwarze käfer ist das? (Käferart, Käfer im Haus) you’ve came to the right web. We have 8 Pics about Welcher schwarze käfer ist das? (Käferart, Käfer im Haus) like Combur 5 Test HC Streifen - Kann den jemand deuten? - wer-weiss-was.de, Liebe Nichtraucher! | Lustige Bilder, Sprüche, Witze, echt lustig and also Liebe Nichtraucher! | Lustige Bilder, Sprüche, Witze, echt lustig. Here it is:

Welcher Schwarze Käfer Ist Das? (Käferart, Käfer Im Haus)

Welcher schwarze käfer ist das? (Käferart, Käfer im Haus) www.gutefrage.netCombur 5 Test HC Streifen - Kann Den Jemand Deuten? - Wer-weiss-was.de

Combur 5 Test HC Streifen - Kann den jemand deuten? - wer-weiss-was.de www.wer-weiss-was.decombur streifen deuten jemand 2448

Liebe Nichtraucher! | Lustige Bilder, Sprüche, Witze, Echt Lustig

Liebe Nichtraucher! | Lustige Bilder, Sprüche, Witze, echt lustig debeste.deFraktur Oder Bänderriss? (Schmerzen, Sprunggelenk)

Fraktur oder Bänderriss? (Schmerzen, Sprunggelenk) www.gesundheitsfrage.netAquarium Unbekannte Eier? (Gehege, Skalare, Salmler)

Aquarium unbekannte Eier? (Gehege, Skalare, Salmler) www.gutefrage.neteier unbekannte salmler komplette

Gedichte: Ich Weiß Nicht - Forum - Battle 53 Von Marle

Gedichte: Ich weiß nicht - Forum - Battle 53 von Marle www.mystorys.de[verkauft] Absorberkühlschrank Electrolux RM 184 EGI, Zündfunkengeber

[verkauft] Absorberkühlschrank Electrolux RM 184 EGI, Zündfunkengeber vwbusforum.chTrümmerbruch Am Kleinen Finger - Erfahrungsberichte (Fußball

Trümmerbruch am kleinen Finger - Erfahrungsberichte (Fußball www.gutefrage.net[verkauft] absorberkühlschrank electrolux rm 184 egi, zündfunkengeber. Fraktur oder bänderriss? (schmerzen, sprunggelenk). Liebe nichtraucher!